Foot Muscles Mri : Proximal Hamstring Repair Milwaukee | Hamstring Injury : The rotator cuff is also important in shoulder functions such as reaching overhead, rotation, and putting your hand into your back pocket.

15.11.2019 · mri scanning requires that the patient lie still for best accuracy. There are loud, repetitive clicking noises which occur during the test as the scanning proceeds. Mri scans at henry ford. Relaxation is important during the procedure and patients are asked to breathe normally. These include plantar fibromatosis, haemangioma, lipoma, pvns/gct tendon sheath and synovial chondromatosis.

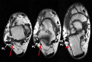
Thigh muscles also protect neurovascular structures as they go through the proximal hip joint to the knee and lower leg (3). Accessory Muscles of the Ankle - Radsource
Accessory Muscles of the Ankle - Radsource from radsource.us
Additionally, mri provides valuable information about the relationship of the gland with adjacent anatomical structures (9). Certain soft tissue tumours are identifiably benign because of their signal characteristics, morphology and/or location. All of our imaging technologists are certified by the american registry of radiologic technologists, and our facilities have achieved accreditation by the american college of radiology.we also offer convenient mri hours at our different locations to fit your schedule. There are loud, repetitive clicking noises which occur during the test as the scanning proceeds. 04.10.2021 · the foot is the region of the body distal to the leg and consists of 28 bones. The muscles acting on the foot can be divided into two distinct groups; This knowledge helps doctors plan medical or. The muscles of the pelvis form its floor.

These bones are arranged into longitudinal and transverse arches with the support of various muscles and ligaments.

They are mainly responsible for actions such as eversion, inversion, plantarflexion and dorsiflexion of the foot. Interaction with the mri technologist is maintained throughout the test. Patients lie within a closed environment inside the magnetic machine. The glenohumeral and acromioclavicular joints. Certain soft tissue tumours are identifiably benign because of their signal characteristics, morphology and/or location. The extrinsic muscles arise from the anterior, posterior and lateral compartments of the leg. Additionally, mri provides valuable information about the relationship of the gland with adjacent anatomical structures (9). There are many muscles that form the pelvic floor, including puborectalis, pubococcygeus, iliococcygeus and coccygeus. The shoulder joint is a joint that connects the upper limb to the axial skeleton. There are three arches in the foot, which are referred to as:. The thigh is composed of several muscles, including the quadriceps or quads (a group of four muscles) (4): These include plantar fibromatosis, haemangioma, lipoma, pvns/gct tendon sheath and synovial chondromatosis. The glenohumeral joint is a synovial joint, formed by the glenoid fossa of the scapula and the head of the humerus, while the acromioclavicular joint connects the acromion and the lateral part of the clavicle.

They are mainly responsible for actions such as eversion, inversion, plantarflexion and dorsiflexion of the foot. There are three arches in the foot, which are referred to as:. Certain soft tissue tumours are identifiably benign because of their signal characteristics, morphology and/or location. Sometimes, soft tissue chondroma and peripheral … Thigh muscles also protect neurovascular structures as they go through the proximal hip joint to the knee and lower leg (3).

The muscles acting on the foot can be divided into two distinct groups; Musculus extensor digitorum brevis - Anatomie & Funktion
Musculus extensor digitorum brevis - Anatomie & Funktion from thumbor.kenhub.com
Mri scans at henry ford. The glenohumeral and acromioclavicular joints. The extrinsic muscles arise from the anterior, posterior and lateral compartments of the leg. 07.05.2020 · the four muscles, and their attached tendons that comprise the rotator cuff are the supraspinatus, infraspinatus, subscapularis, and teres minor, and any of these could be where we could find rotator cuff tears. The rotator cuff is also important in shoulder functions such as reaching overhead, rotation, and putting your hand into your back pocket. All of our imaging technologists are certified by the american registry of radiologic technologists, and our facilities have achieved accreditation by the american college of radiology.we also offer convenient mri hours at our different locations to fit your schedule. Thigh muscles also protect neurovascular structures as they go through the proximal hip joint to the knee and lower leg (3). There are three arches in the foot, which are referred to as:.

Sometimes, soft tissue chondroma and peripheral …

All of our imaging technologists are certified by the american registry of radiologic technologists, and our facilities have achieved accreditation by the american college of radiology.we also offer convenient mri hours at our different locations to fit your schedule. The shoulder joint is a joint that connects the upper limb to the axial skeleton. There are three arches in the foot, which are referred to as:. 04.10.2021 · the foot is the region of the body distal to the leg and consists of 28 bones. 03.06.2019 · mri is the imaging modality of choice when dealing with soft tissue lesions of the foot or ankle. Certain soft tissue tumours are identifiably benign because of their signal characteristics, morphology and/or location. There are many muscles that form the pelvic floor, including puborectalis, pubococcygeus, iliococcygeus and coccygeus. The rotator cuff is also important in shoulder functions such as reaching overhead, rotation, and putting your hand into your back pocket. Relaxation is important during the procedure and patients are asked to breathe normally. This knowledge helps doctors plan medical or. The muscles acting on the foot can be divided into two distinct groups; The glenohumeral and acromioclavicular joints. These include plantar fibromatosis, haemangioma, lipoma, pvns/gct tendon sheath and synovial chondromatosis.

The muscles of the pelvis form its floor. This knowledge helps doctors plan medical or. Relaxation is important during the procedure and patients are asked to breathe normally. 07.05.2020 · the four muscles, and their attached tendons that comprise the rotator cuff are the supraspinatus, infraspinatus, subscapularis, and teres minor, and any of these could be where we could find rotator cuff tears. Mri scans at henry ford.

The tendons are the parts that attach … Cervical Spine Disease Treated in Baltimore at Mercy
Cervical Spine Disease Treated in Baltimore at Mercy from mdmercy.com
The muscles acting on the foot can be divided into two distinct groups; The glenohumeral and acromioclavicular joints. The extrinsic muscles arise from the anterior, posterior and lateral compartments of the leg. Mri scans at henry ford. There are loud, repetitive clicking noises which occur during the test as the scanning proceeds. All of our imaging technologists are certified by the american registry of radiologic technologists, and our facilities have achieved accreditation by the american college of radiology.we also offer convenient mri hours at our different locations to fit your schedule. Interaction with the mri technologist is maintained throughout the test. Thigh muscles also protect neurovascular structures as they go through the proximal hip joint to the knee and lower leg (3).

The thigh is composed of several muscles, including the quadriceps or quads (a group of four muscles) (4):

Interaction with the mri technologist is maintained throughout the test. The extrinsic muscles arise from the anterior, posterior and lateral compartments of the leg. It is composed of two articulations; Sometimes, soft tissue chondroma and peripheral … Additionally, mri provides valuable information about the relationship of the gland with adjacent anatomical structures (9). The tendons are the parts that attach … This knowledge helps doctors plan medical or. The glenohumeral joint is a synovial joint, formed by the glenoid fossa of the scapula and the head of the humerus, while the acromioclavicular joint connects the acromion and the lateral part of the clavicle. 04.10.2021 · the foot is the region of the body distal to the leg and consists of 28 bones. The muscles of the pelvis form its floor. There are three arches in the foot, which are referred to as:. Relaxation is important during the procedure and patients are asked to breathe normally. Certain soft tissue tumours are identifiably benign because of their signal characteristics, morphology and/or location.

Foot Muscles Mri : Proximal Hamstring Repair Milwaukee | Hamstring Injury : The rotator cuff is also important in shoulder functions such as reaching overhead, rotation, and putting your hand into your back pocket.. The extrinsic muscles arise from the anterior, posterior and lateral compartments of the leg. The thigh is composed of several muscles, including the quadriceps or quads (a group of four muscles) (4): The muscles acting on the foot can be divided into two distinct groups; Thigh muscles also protect neurovascular structures as they go through the proximal hip joint to the knee and lower leg (3). Patients lie within a closed environment inside the magnetic machine.